Kinderärztliche Bereitschaftsdienste
Telefon: 116 117
- Klinikum Frankfurt Höchst
- Sana Klinikum Offenbach
Für kranke Kinder und Jugendliche, die außerhalb der Praxiszeiten eine ärztliche Versorgung benötigen, etwa bei Erkältungen, Fieber, Ohrenschmerzen, Magen-Darmbeschwerden.
Kindernotfallambulanz am Clementine Kinderhospital
(069) 94992-0
Für Notfälle wie:
• akute Schmerzzustände
• Atemnot
• Bewusstlosigkeit
• Blutverlust
• Herzbeschwerden
• Verdacht auf Schlaganfall
• Lähmungserscheinungen
• Vergiftungen
• Bluthusten
• Blutungen aus dem Magen-Darm-Trakt
• sexuellem Missbrauch
Kinderchirurgische Notfälle, Kindergarten- oder Schulunfälle
Zentrale Notaufnahme Bürgerhospital Frankfurt
(069) 1500-324
Zahnärztlicher Notdienst
01805 607011
Augenärztlicher Notdienst
116 117
alternativ: Notdienst in der Klinik für Augenheilkunde der Uniklinik Frankfurt
Giftnotruf
(06131) 19240
Drogen-Notruf
(069) 623451
Apotheken-Notdienst
0800 0022833
Das Clementine Kinderhospital

Einziges Kinderkrankenhaus in der Stadt

Überdurchschnittliche Personalbesetzung

Besonders spezialisiert

Zertifizierte Kinderschutzgruppe

Bestnote in Sachen Hygiene
Unsere Zertifkate und Auszeichnungen

Faires PJ-Siegel

Ausgezeichnet. FÜR KINDER.

Initiative Patientensicherheit und Qualität in Hessen

Aktionsbündnis Patientensicherheit

IQM - Initiative Qualitätsmedizin

ISO-Zertifizierung als Rehabilitationseinrichtung

ISO-Zertifizierung für die ambulante und stationäre Behandlung von Kindern und Jugendlichen

Perinatalzentrum Level 1 - zertifiziert nach PeriZert

Aktion Saubere Hände

MRE-Siegel

Anerkannter IHK-Ausbildungsbetrieb

Ambulanter Kinder- und Jugendhospizdienst
Unsere Gesundheitsthemen: Interessante Einblicke.

Wenn das Immunsystem die Luft nimmt

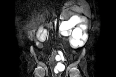
Großes Herz für nierenkranke Kinder - Die Nephrologie am Clementine Kinderhospital

Kranke Kinder haben Vorfahrt – Wie funktioniert die Notfallambulanz am Clementine Kinderhospital?

Simulationszentrum für das Bürgerhospital und Clementine Kinderhospital - Teamtrainings für den Notfall

Wie „Primary Nursing“ die Behandlung psychosomatisch erkrankter Jugendlicher verbessert

Über die Schulter geschaut: Physiotherapie behandelt Kinder ganzheitlich

Suche nach Puzzleteilchen - Rheuma bei Kindern

Alles im Lot? Hilfe bei Hormonstörungen im Kindesalter

„Mir macht es Spaß, auf Kinder einzugehen.“

Wenn angeborene Fehlbildungen den Start ins Leben erschweren

Neuropädiatrie: Zwischen Empathie und gesunder Distanz

Familien stärken in der Kinder- und Jugendpsychosomatik

Ohne Druck und Scham - Wie Urotherapie Kindern beim Kontinenz-training hilft

Wenn der Esstisch zum „Stress-Tisch“ wird

Zystische Nierenerkrankungen im Kindesalter

Wenn die Lunge schwächelt - chronische und allergische Erkrankungen der Atemwege

Wie lässt sich das Allergierisiko bereits im Babyalter senken?

Knochengesundheit und Vitamin-D-Mangel bei Kindern und Jugendlichen

"Gerade sehen" können - Schielbehandlung bei Kindern

Von der Angst zum Vertrauen - Wie eine gute Betreuung Schmerzen lindert

Stuhlinkontinenz – ein Tabuthema auch bei Kindern

Uro-Magnetresonanztomographie bei Kindern und Säuglingen: In die Niere geschaut

Vermeidbare Verletzungen im Kindesalter

Individualisierte Medizin für unsere Allerkleinsten









